
Chaparral Village
Dental & Orthodontics
All dentistry and photographs are done by Dr. Ming Zhao
Case #1. Composite restoration of tooth decay.


This patient had large decay on his front tooth (left). We removed his decay and repaired
the tooth with composite bonding (right). Had the patient waited any longer, the alternative treatment of root canal therapy, build-up, and crown would have cost much more. In comparison, the cost of composite restoration was minimal.
Case #2. Repair of chipped teeth with cosmetic bonding.

This patient had both upper canine teeth chipped, which made her reluctant to smile. She was told before that Lumineers are the only way to fix the problem, but she could not afford it. We used a minimally invasive technique and cosmetic bonding through skillful shade matching and shape sculpturing to give her the smile she has always dreamed of at a cost that fits her budget. Now she can not stop smiling.
Case #3. Restoration of missing front tooth with all ceramic bridge.

This patient lost his upper lateral incisor. He received dental implants twice but both implants failed due to his smoking habit. Although dental implants are the best option to restore missing single tooth, this patient is not a good candidate for implant. We used a two-unit cantilever ceramic bridge to restore the missing tooth successfully. This treatment gave him a brilliant smile at a reduced cost.
Case #4. Mercury removal and composite fillings.

This patient has many large silver amalgam fillings which broke down with new decay. We did a mercury removal procedure and restored the teeth with white composite fillings.
Case #5. Porcelain crowns to restore decayed teeth.

This patient came in with concerns about his lower front teeth which are black and short (Left). He has been trying to hide his teeth for a long time. We removed all cavity and placed five all porcelain crowns to match his existing crowns (Right).
Case #6. Lower denture retained by two implants.

This 80-year-young patient had lower teeth which were hopeless due to gross decay. All lower teeth were removed and two dental implants were placed immediately to retain the lower denture. The patient can now eat sandwiches and apples without having to cut them into small cubes. This treatment will give her many years of quality life, compared with many people who suffer from loose and painful dentures.
Case #7. Smile makeover with all porcelain crowns and bridge



Before

After
This patient is missing two front teeth and has been wearing a removable flipper for over 10 years. He wanted a long-term, more comfortable and aesthetic solution to restore his smile. Upon careful smile analysis and planing, we fabricated three all-porcelain crowns and a 3-unit all-porcelain bridge to give him the smile that he had wanted for so many years. We further restore his other teeth through composite bonding and teeth whitening to further improve his oral health. Take note that his smile is much brighter and happier after the smile makeover.
Case #8. Cosmetic gum surgery combined with porcelain bridge to restore a missing front tooth.




Before After
This patient lost a front tooth in an accident many years ago. He has a severely recessed bone ridge and uneven gingival height, which is a major challenge for any cosmetic dentist. Upon thorough evaluation and planning, we performed cosmetic gum surgery to first correct the gingival height, then restore the missing tooth with an all-porcelain bridge. The total process took about three months, with the patient laughing every step along the way.
Case #9. Orthodontics


Before After
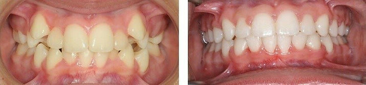
Case #10. Cosmetic smile makeover with orthodontics and veneers.

Before After
This young girl had an over-retained primary tooth between her central incisors, causing an unattractive appearance. A combination of braces and porcelain veneers were utilized to give her a new, brilliant smile.
Case #11. Comprehensive smile makeover using orthodontics and crowns.

This 65 year old gentleman has severe tooth wear due to deep bite and poor occlusion. Orthodontic treatment was done to align the teeth first, followed by cosmetic bonding and crowns to restore the collapsed bite.
Case #12. Smile makeover using Porcelain crowns, bridge and direct bonding.

